什么是液体活检?

液体活检(Liquid biopsy),有别于组织穿刺活检,前者侵入有创、疼痛且并发症风险高,后者仅需抽血,方便快捷、安全性高。液体活检可从血液里捕捉肿瘤相关信息,凭着样本可及性高、避免组织异质性且可多次取样等优势,在肿瘤的早筛早诊、复发监测、用药指导等领域发挥越来越重要的作用。

CT定位下肺穿刺图片1
CT定位下肺穿刺图片2
CT定位下肺穿刺图片3

CT定位下肺穿刺

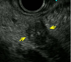
超声引导下胰腺穿刺1
超声引导下胰腺穿刺2
超声引导下胰腺穿刺3
超声引导下胰腺穿刺4

超声引导下胰腺穿刺

什么是血浆/血清miRNAs?

血浆/血清miRNAs是指存在于血浆或血清中的一类小分子RNA (miRNAs)。miRNAs是一种长度约为22个核苷酸的非编码RNA分子,能够调控基因表达。血浆是血液中不含血细胞的液体部分,而血清是血浆在凝固后去除凝块所得到的液体部分。血浆/血清miRNAs在细胞外环境中稳定存在,同时可以通过非侵入性的方式进行检测,因此具有潜在的临床应用价值。近年来的研究表明,血浆/血清miRNAs可能成为疾病诊断、治疗和预后评估的新型生物标志物如癌症、心血管疾病等。

产品与服务

通过研发和制备针对上述血浆及血清miRNAs序列组合文库的检测试剂盒,依托自主LDT-PCR实验室,并结合专有的数据分析系统,出具检测报告、建立患者或体检人群的健康随访档案,应用于重大疾病如癌症、肾病、心脑血管疾病等的辅助诊断与筛查。

通过制备miRNAs扩增芯片,依托LDT-PCR实验室检测,并结合专有的数据分析系统,建立“药物—miRNAs人工智能预测平台”,自主或为各大药企、科研机构提供各类药物(包括中药活性组分、仿制药物、代谢物、活性肽、单抗或双抗)功能鉴定服务,以融入AI-制药的大趋势、大洪流。

核心竞争力